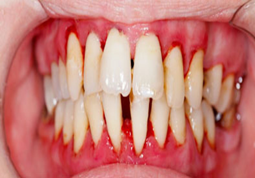
Dental Implant India follow the most stringent Sterilization Protocols
From Aerosol Removal and Air Purifying External High-Suction Machine to Responsible Bio-Medical Waste Disposal with Daily Clinic Fumigation. Complete Global Standard PPE for Dentists and Dental Assistants. Before Covid 19 we had high standards of infection control and after what this virus has done to the world we have become ready and have adapted and…
Details








