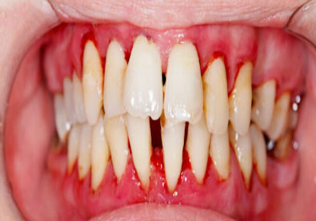
Brushing And Gingival Recession
Gingival recession and tooth abrasion has become a common problems in the recent years and is mainly associated with poor oral hygiene and aggressive tooth brushing habits. They increases with age and commonly observe in men than women. Gingival recession is defined as the shift of marginal gingiva apically beyond the cemento enamel junction creating…


